
Lorem ipsum dolor sit amet consectetur
Lorem ipsum dolor sit amet, consectetur adipiscing elit, sed do eiusmod tempor incididunt ut labore et dolore magna aliqua. Ut enim ad minim veniam, quis
A ORTOGOTARDO é um Centro de Pós-Graduação em Ortodontia com mais de 26 anos de tradição, fundado em Sertãozinho-SP pelo Prof. e Coordenador Eduardo Mendes Gotardo. Com unidades em Sertãozinho e Ribeirão Preto, a instituição oferece uma estrutura completa e moderna para alunos e pacientes, proporcionando um ambiente ideal para aprendizado e prática clínica.
Reconhecida pela excelência no ensino, a ORTOGOTARDO disponibiliza cursos para todas as etapas da formação em Ortodontia, desde profissionais iniciantes até especialistas em busca de aperfeiçoamento. Sua metodologia é voltada à prática clínica, ao desenvolvimento técnico e à aplicação dos conhecimentos no dia a dia do consultório.
Ao longo de sua trajetória, já formou mais de 3 mil alunos, destacando-se pela qualidade no ensino de diagnóstico, planejamento e tratamento ortodôntico. Com um corpo docente altamente qualificado e uma proposta baseada em atualização constante, prática intensiva e coleguismo, a instituição consolidou-se como referência na formação em Ortodontia.
Todas as aulas teóricas e laboratoriais, os alunos recebem uma apostila com todo o conteúdo das aulas
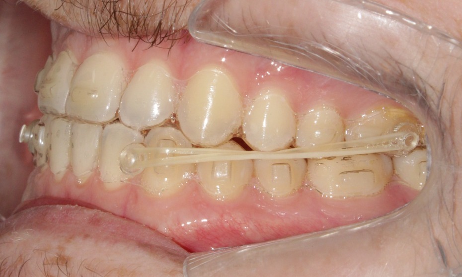
Os alunos realizam o tratamento em crianças, adolescents e adultos, utlizando aparelhos ortopédicos, fixos e alinhadores
Nossos professores proporcionam para os alunos uma didática diferenciada, buscando sempre modernidade e experiência em suas aulas
Mestre em Odontopediatria, Especialista em Ortodontia pelo Centro de Estudos Ortogotardo e professora no curso de Especialização do Centro de Estudos Ortogotardo.
Especialista em Ortodontia pelo Centro de Estudos Ortogotardo; Professor no curso de Especialização do Centro de Estudos Ortogotardo; Speaker da Angel Aligner.
Mestre em Ortodontia; Especialista em Ortodontia pelo C.F.O.; Professor no curso de Especialização do Centro de Estudos Ortogotardo
Mestre em Odontopediatria, Especialista em Ortodontia pelo Centro de Estudos Ortogotardo e professora no curso de Especialização do Centro de Estudos Ortogotardo.
Tema: A excelência nos resultados guiados pelo diagnóstico, planejamento e biomecânica

Lorem ipsum dolor sit amet, consectetur adipiscing elit, sed do eiusmod tempor incididunt ut labore et dolore magna aliqua. Ut enim ad minim veniam, quis

Lorem ipsum dolor sit amet, consectetur adipiscing elit, sed do eiusmod tempor incididunt ut labore et dolore magna aliqua. Ut enim ad minim veniam, quis

Lorem ipsum dolor sit amet, consectetur adipiscing elit, sed do eiusmod tempor incididunt ut labore et dolore magna aliqua. Ut enim ad minim veniam, quis

Lorem ipsum dolor sit amet, consectetur adipiscing elit, sed do eiusmod tempor incididunt ut labore et dolore magna aliqua. Ut enim ad minim veniam, quis